One of the most common complaints that doctors hear from patients is knee pain. What causes this pain is not always possible to say immediately. The knees can be affected by various diseases, such as osteoarthritis of the knee joint. It is also known as gonarthrosis.
Gonarthrosis is a non-inflammatory damage to the joints, which often leads to cartilage destruction, bone deformity and limited movement. This disease has the code M17 in the International Classification of Diseases (ICD-10).

All patients can be divided into two groups. The first group includes young people, more often young men, with damage to one, less often to both knee joints. They have had a knee injury or surgery in their medical history.
The second group includes obese people, middle-aged or elderly people, more often women who have gonarthrosis developed simultaneously in several parts of the body.
Symptoms of osteoarthritis of the knee
The symptoms of osteoarthritis of the knee increase gradually. Patients may not realize they have been ill for years until they notice obvious knee deformity or severe pain.
At the same time, arthritis of the knee joint in the initial stage of the disease is most often accompanied by unpleasant and painful sensations in the knees and few people seek medical help.
Women prone to obesity, especially after the age of 40, are prone to this disease.
Varicose veins also contribute to the development of the disease. At this stage, it is possible to treat the disease at home without the use of tablets and ointments.
The pain is not sudden, it appears gradually over several years. They usually occur during sports, walking and other physical activities.
Acute pain may not be a symptom of gonarthrosis, but a consequence of a crack, meniscus injury or bruise. It is the severe pain that motivates you to consult a specialist.
The pain often worsens in the following cases:
- when walking;
- in a long upright position;
- during slopes;
- when lifting the body from a sitting position;
- when carrying heavy objects.
During these operations, the maximum load acts on the joints, therefore, if the patient feels severe discomfort, he can already be diagnosed with arthritis of the knee joint from the second stage. One tries to move less, to take a static position to avoid pain, but with prolonged physical activity the discomfort returns.

Deforming osteoarthritis of the knee joint accompanies such a symptom as deformity. This becomes noticeable in the second or third stage of the disease. Her first signs: the knee was slightly swollen, but kept its shape. In the later stages there is a change in the shape of the knee, which makes one leg shorter or longer.
One of the most characteristic symptoms is crunch in the joints, which is observed in the second and third stages. The main thing is to distinguish the audible crunch in the joints of a healthy person from the deaf, dry crunch of the patient. This sound causes weakness of the ligament apparatus or high mobility of the joints.
To ensure the immobility of the knee joint, it is recommended to wear knee pads.
Forms of gonarthrosis
There are two forms of the disease:
- Primary: Occurs as a result of congenital abnormal joint development.
- Secondary: Occurs as a result of illness and injury.
The primary form of osteoarthritis of the knee joint often develops in childhood and is caused by improper formation of ligaments and joints. They are subjected to heavy loads and deform during physical activity.
The secondary form of the disease is caused by the following factors:
- Injuries (bruises, sprains, dislocations, fractures) that lead to disruption of bone structure, ligaments and cartilage. All this is a post-traumatic form of the disease.
- Meniscus displacement operations disrupt the integrity of the knee structure.
- Too much load on the legs (typical for weightlifters).
- obesity. Being overweight provokes pressure on the cartilage of the knee joints.
- Passive lifestyle.
- Diabetes.
- Age.
- Arthritis (inflammatory process in the joints). Prolonged illness is accompanied by the formation of excess fluid in the joint cavity and causes complications.
- Metabolic disorders lead to salt deposition.
- knee transplant.
- Diseases that cause prolonged muscle cramps in the legs or vasospasm.
The development of the disease can take a unilateral or bilateral form. Trauma often causes left or right gonarthrosis, and obesity is bilateral.
Stages of the disease
There are three stages of gonarthrosis:
- From the beginning of the first stage to the visible manifestations of the disease can take several months or even years. The person complains of intermittent pain in the legs, especially when going up or down the stairs and getting out of bed in the morning. The photos usually show a narrowing of the connection between the joints and, as a rule, instead of going to the doctor, patients use traditional medicine - ointments and tinctures.
- The second stage is characterized by more acute pain that does not stop with the immobility of the limb. A crunch appears. Fluid builds up in the joint cavity, and an X-ray shows the deformation and growth of the bone. At this stage, the patient tries in every possible way not to move the affected limb. The doctor prescribes injections and chondroprotectors - drugs that help restore cartilage tissue.
- In the last third stage, the pain becomes permanent and often worsens with changing weather conditions. The X-ray shows a significant deformity of the knee, which can be corrected only with surgery, the patient must take a complex of chondroprotectors. The patient's gait changes: he walks on half-bent legs or rolls from one side to the other.
Causes of disease. Risk groups
Overweight
Most often, deforming osteoarthritis affects the elderly. Overweight women over the age of 40 are in a special risk group. The probability of pathology in overweight people is 4 times higher than in people with normal body weight. The model is simple: the heavier a person is, the faster the disease develops and the more severe it is. In this case, the form of the disease can be called acquired. The joints of the lower limbs are affected, as they are forced to withstand the greatest load.
Overweight people also face hormonal imbalances and metabolic disorders that contribute to the development of obesity and osteoarthritis.
age
Older people can be called those who have reached the age of 60-65 years. In this population, osteoarthritis occurs in 65-85 percent of people.
The reason is age-related changes that negatively affect the structure of the joints. Even ordinary walking can become a significant strain and stimulate the development of the disease, while worn-out cartilage can no longer recover on its own.
Congenital pathologies and hereditary factors
The disease can affect both young people and those who are not overweight. As a rule, in such situations the disease occurs due to congenital defects of the knee joints, such as lack of intra-articular lubrication. Heredity also plays an important role.
However, the majority of patients suffering from knee pain are of respectable age. Osteoarthritis is rare among young people. Unfortunately, young patients do not always receive the necessary treatment, as not all doctors consider it necessary to pay them the necessary attention.
High loads
People who make a living from hard physical labor and athletes at various levels are also at risk for osteoarthritis of the knee. In this case, the disease becomes an occupational pathology.
Operations, injuries and other diseases
Surgery, trauma, various diseases of the joints can provoke the appearance of gonarthrosis.

When the cause remains unknown, osteoarthritis of the knee is usually called idiopathic.
Diagnosis of osteoarthritis of the knee
This diagnosis is made on the basis of the patient's complaints, examination data, palpation of the diseased joint and X-ray examination.
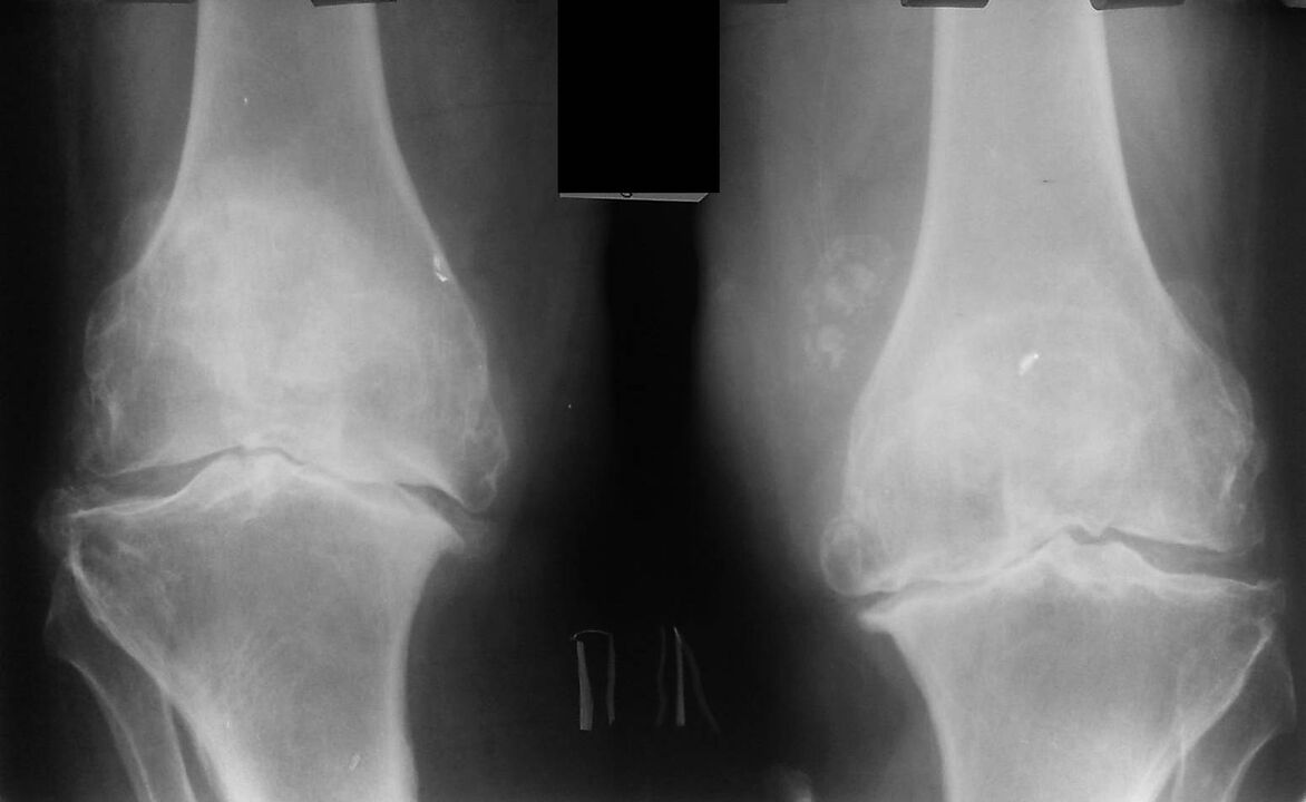
X-ray is a standard research method that allows you to confirm the diagnosis, determine the degree of pathological changes, monitor the dynamics of the process, and also allows you to exclude other pathological processes (eg tumors) in the tibia and femur.
It should be noted that the primary changes in the structures of the knee joint on X-rays may be missing. Subsequently, narrowing of the joint space and thickening of the subchondral area is determined. The articular ends of the femur and especially the tibia expand, the edges of the condyles become pointed.
Additional diagnostic methods are CT (computed tomography) and MRI (magnetic resonance imaging), which allow more detailed study of pathological changes in bone structures and identification of changes in soft tissues.
How to treat gonarthrosis of the knee joint
The more acute the stage of the disease, the more complicated the treatment of gonarthrosis. The chronic nature of the pathology may remain in the remission phase when the active manifestations of the disease are minimized or completely absent.

Physiotherapeutic treatment in combination with chondroprotective drugs gives positive results.
Treatment options include:
- drug therapy (chondroprotectors);
- surgical intervention;
- rehabilitation course (treatment, massage, etc. ).
Drug treatment
The use of non-steroidal analgesics is prescribed in drug therapy. These medicines help to relieve the pain and symptoms of synovitis (inflammation). If the pain is particularly intense or the synovium of the knee joint is severely inflamed, then corticosteroids may be used. These drugs have a more powerful analgesic and anti-inflammatory effect than non-hormonal painkillers. Muscle relaxants and antispasmodics will help the periarticular muscles to get rid of spasms.
Antioxidants and vasodilators improve the nutrition of cartilage. The main drugs for conservative treatment of the disease are chondroprotectors, which contain chondroitin and glucosamine sulfate (natural components of cartilage).
The use of pathogenetic drugs should be systematic and continuous.
Physiotherapy
Methods of physiotherapy (UHF, ultrasound or phototherapy) are considered additional means to accelerate the healing process.
They also include:
- Acupuncture. This method relieves muscle spasm near the affected joint, normalizes metabolic processes in them, thus restoring damaged cartilage.
- Hirudotherapy. Treatment with leeches has the same effect as injections, as it improves blood circulation.
- laser therapy. Such procedures relieve inflammation, swelling, improve metabolism and neutralize pain.
- Cryotherapy. Both liquid nitrogen treatment and plain ice at home are effective.
- Magnetic therapy. The effect of the magnetic field not only improves blood circulation in the tissues, but also relieves swelling and inflammation.
- Electromyostimulation. With the help of micro-discharges of current of different frequency, muscles are restored and strengthened, blood circulation in the limbs is improved.
Treatment of gonarthrosis of the knee with physiotherapy is effective because it reduces pain. Usually the attending physician prescribes such treatment according to the stage of the disease.
Physiotherapy
The treatment of osteoarthritis of the knee is one of the main means of restoring atrophied muscles and should be performed very carefully and slowly. If the patient feels that the pain is returning, the exercise should be stopped.

During therapeutic exercises it is necessary to wear special knee braces. The rehabilitation course also includes the use of these orthopedic devices, which aim to reduce the load from the affected knee to the cane or prosthesis. Patients with gonarthrosis are often prescribed to wear knee pads to relieve pain when walking.
Therapeutic gymnastics for gonarthrosis reduces the load on the damaged joint, developing the leg muscles. Exercises that strain the joint are strictly contraindicated. Water gymnastics and swimming are ideal activities.
Orthopedic therapy
To reduce the strain on the affected joints, the patient should use a cane. A good helper in osteoarthritis of the knee are orthopedic shoes, which provide a natural position of the foot and even load distribution.
Massage
Massage relieves muscle spasms, reduces pain and increases range of motion. This procedure also improves blood circulation and supplies nutrients to the joint.
Surgical intervention
Significant reduction in working capacity (especially up to 45 years) requires surgical treatment. The choice between corrective (removal of osteophytes) and radical (knee replacement) methods of treatment depends on the stage of the disease, the patient's age, symptoms and other factors.
Nutrition
As for the special diet for gonarthrosis, it is most often aimed at reducing the patient's weight, as being overweight leads to overload of the joints. It is recommended to eat small portions every 3 hours, to eat lean meat (chicken, turkey, rabbit) and to exclude fatty pork, as well as to obtain the necessary protein from legumes.
Refined oil should be replaced with unrefined, salt intake should be limited. The therapeutic diet also involves the rejection of canned foods, fried and smoked foods. In order to restore the destroyed cartilage, it is necessary to provide the body with carbohydrates, which are contained in cereals and wholemeal flour.
It is also recommended to drink freshly squeezed juices, such as carrots, beets and apples, to remove toxins and reduce inflammation in the body.
Fish and various jellies act as chondroprotectors and help to restore cartilage not only in the initial stages, but also during periods of exacerbation.
Folk methods of treatment
There are many ointments, compresses, tinctures that are used by lovers of traditional medicine. These drugs are usually made from herbs, medicinal bile and help improve circulation in the joints.
Compresses and ointments also relax the muscles, their effectiveness is very high, but in the third stage of gonarthrosis without the use of drugs they are practically useless.
Folk medicine should not be neglected because it helps relieve discomfort and reduce many of the symptoms of the disease. But in any case you should consult a doctor and not self-medicate.
There are contraindications, it is necessary to consult a specialist.
Prevention
It is advisable to adhere to the following principles of a healthy lifestyle:
- balanced diet;
- quitting bad habits (smoking, alcohol);
- sports;
- maintaining a healthy weight;
- prevention of sports injuries (bruises, dislocations, fractures).
Knee osteoarthritis has several treatment options depending on the age and physical condition of the patient. To prevent and control the disease in the early stages, sports are needed, as well as timely treatment.



















